At Braces World Orthodontics, we believe that delivering exceptional results starts with using the best tools available. That’s why we’ve invested in cutting-edge technology designed to make your treatment more accurate, efficient, and comfortable. Our advanced diagnostic and imaging tools help us create personalized treatment plans that are as precise as they are effective—all while keeping your safety and comfort a top priority.
Intraoral Scans
Gone are the days of sticky, uncomfortable molds. With our state-of-the-art intraoral scanners, we can create highly accurate 3D digital models of your teeth—quickly, comfortably, and without the mess.
What does this mean for you?
- Comfortable Scanning: A small handheld wand captures detailed images of your teeth and gums in just minutes.
- No Goop Needed: Digital scans replace traditional impression materials, making your experience easier and more pleasant.
- Faster Turnaround: The digital images are instantly available, allowing us to start planning your treatment right away.
- Enhanced Precision: With crystal-clear 3D images, we can design more accurate and customized orthodontic treatments — whether you’re getting braces or Invisalign.
Whether you’re starting treatment or checking progress along the way, intraoral scanning gives us—and you—a clearer picture of your smile.
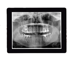
Digital X-Rays
When it comes to diagnosing and planning your treatment, digital X-rays give us a detailed view of your teeth, jawbone, and facial structure—all with significantly less radiation than traditional film X-rays.
Why do we use digital X-rays?
- Lower Radiation Exposure: Digital X-rays use up to 90% less radiation than conventional X-rays, prioritizing your safety.
- Immediate Results: Images appear instantly on our monitors, so we can review and explain them with you in real-time.
- Eco-Friendly: No film or chemicals means a more sustainable and environmentally friendly process.
- Better Diagnostics: High-resolution images allow us to detect concerns early, monitor growth and development, and plan treatments with greater confidence.
With digital X-rays, we can provide accurate, high-quality care while keeping your safety and comfort front and center.

